تبوك-أقلام الخبر
تمكن مستشفى الملك فهد التخصصي التابع للتجمع الصحي بتبوك من إنقاذ حياة مقيم بالعقد الخامس من العمر كان يعاني من أعراض جلطة قلبية حادة وأثناء وصوله للطوارئ توقف قلب المريض لمدة دقيقتين وتم إنعاشه ولله الحمد.
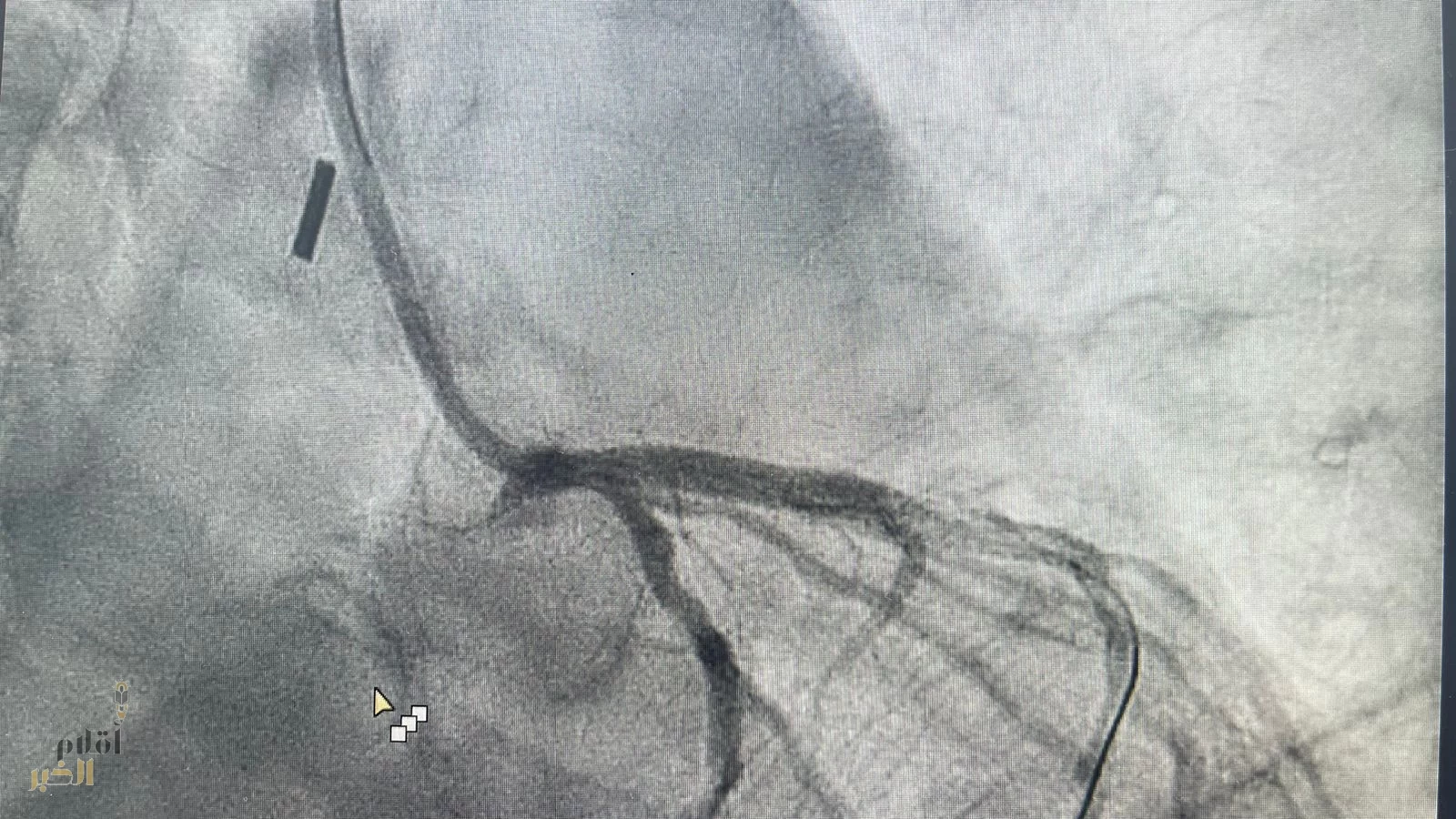
وقال الفريق الطبي المعالج بأنه بعد تفعيل مسار الجلطات القلبية ووصول الفريق الطبي من قسم القسطرة القلبية تم التعامل مع المريض وتبين أن هناك تضيق شديد بنسبة ٩٩ ٪ في الشريان الأيسر الرئيسي كاد أن يودي بحياة المريض ، حيث ان هذا الشريان يغذي ٧٠٪ من عضلة القلب ويحتاج الى تدخل جراحي عاجل لزراعة الشرايين "عملية قلب مفتوح".
وأشار الفريق الطبي بأنه تم خلال القسطرة وضع مضخة داعمة للدورة الدموية في الشريان الأبهري لتحسين كفاءة عضلة القلب ووضع دعامة لفتح الشريان وتحسين تدفق الدم للعضلة واستقرار حالة المريض وتكللت ولله الحمد بالنجاح وتم متابعة حالة المريض وقد خرج في اليوم التالي.
وبين الفريق الطبي ان هذه العملية من العمليات المعقدة ولأن الدقيقة قد تشكل فارق كبير في حياة المريض وصل فريق القسطرة القلبية في الوقت المناسب لإجراء العملية ولله الحمد.
من جهته يعتبر مسار الجلطات القلبية أحد أهم مسارات نموذج الرعاية الصحية الحديث ويهدف إلى سرعة التعامل مع حالات الجلطات القلبية و حماية المرضى من اي مضاعفات ناتجة عن الجلطات .

(0) التعليقات
تسجيل الدخول
إضافة رد على التعليق
الردود
لا توجد تعليقات